18 年
手机商铺
公司新闻/正文
71 人阅读发布时间:2026-04-10 09:53
发表期刊:CANCER CELL
IF:44.5
文章标题:CHI3L3+ immature neutrophils inhibit anti-tumor immunity and impede immune checkpoint blockade therapy in bone metastases
客户单位:南京大学医学院附属南京鼓楼医院
吉玛产品:慢病毒shRNA
研究方向:未成熟中性粒细胞抑制抗肿瘤免疫并阻碍骨转移

背景介绍
骨转移是肺癌、乳腺癌、前列腺癌等实体瘤最常见的转移部位之一,发生率高达40%–90%,也是导致晚期癌症患者死亡的重要原因。尽管免疫检查点阻断疗法在多种原发性肿瘤中取得显著疗效,但对骨转移患者的治疗效果却普遍不佳,这可能与其独特的免疫微环境密切相关。
中性粒细胞作为骨髓及外周血中最丰富的免疫细胞,在肿瘤进展中扮演双重角色,既可能抑制也可能促进抗肿瘤免疫。近年来,单细胞测序等技术揭示了中性粒细胞在发育和功能上的高度异质性,尤其是未成熟中性粒细胞在肿瘤微环境中的积累与癌症进展相关。然而,中性粒细胞在骨转移免疫调控中的作用机制尚不清楚,其在骨髓富集却功能未明的状态,成为理解骨转移免疫耐受的重要突破口。
文章发现
本研究中,在小鼠模型和癌症患者骨转移瘤微环境中观察到未成熟中性粒细胞的主导地位。Dickkopf1(DKK1)诱导中性粒细胞进入类似未成熟的功能状态,这些细胞表现出强大的免疫抑制能力,能够抑制CD8+ T细胞的抗肿瘤反应。DKK1-CKAP4-STAT6信号通路驱动CHI3L3的表达,这是未成熟中性粒细胞在骨转移瘤中介导免疫抑制所必需的。此外,阻断DKK1可促进中性粒细胞成熟,改善免疫微环境,诱导肿瘤缩小,并在多种骨转移瘤小鼠模型中增强 ICB 疗法的反应。该发现不仅明确了未成熟中性粒细胞在骨转移免疫抑制中的核心作用,也为临床克服骨转移ICB耐药提供了新的靶向策略——即通过调控中性粒细胞成熟状态来增强免疫治疗效果。
文章结果
1. 未成熟中性粒细胞在骨转移进展过程中成为优势细胞
临床数据分析表明,骨转移性胃癌患者接受抗PD-1治疗后,疾病进展率更高(69.6%),中位生存期更短(24.2个月),显著差于其他转移部位的患者。在多种同源小鼠骨转移模型中,PD-1阻断治疗同样无效。深入分析肿瘤微环境发现,骨转移灶中中性粒细胞(Ly6G+CD11b+) 成为最主要的免疫细胞群体。关键特征在于,这些细胞绝大多数呈现未成熟表型(Ly6G+CD101−)。随着骨转移进展,其比例持续升高,在第14天可占骨髓免疫细胞的近60%,占中性粒细胞总数的约80%。体内追踪实验证实,成熟中性粒细胞在病灶微环境中可逆转化为未成熟状态,是其积累的重要机制。该现象具有普遍性但存在部位特异性:未成熟中性粒细胞在肝癌、脑转移等多种肿瘤中均有增加,但在骨转移病灶中的富集程度最高、最为显著,凸显了其在骨转移独特免疫微环境中的重要地位。

2. DKK1诱导中性粒细胞进入未成熟样状态
通过分析不同骨转移能力的MDA-MB-231衍生细胞系分泌组数据,发现Dickkopf1(DKK1)在乳腺癌骨转移灶中特异性上调。癌症细胞系资料分析及骨转移TNBC模型证实DKK1表达与骨转移潜能呈正相关。骨转移胃癌患者血清中DKK1水平最高,且治疗后疾病进展患者血浆DKK1升高,高DKK1表达与无骨转移生存期缩短相关。动物模型中,骨转移小鼠血浆DKK1水平最高。体外实验表明,DKK1刺激可增加成熟中性粒细胞中Ly6G+ CD101−细胞比例,并延长其存活时间。体内过表达DKK1同样增加骨髓未成熟中性粒细胞比例。RNA测序和蛋白印迹分析揭示,DKK1通过结合细胞骨架相关蛋白4(CKAP4)激活PI3K-AKT通路。单细胞测序表明Ckap4在中性粒细胞广泛表达,而经典WNT通路受体Lrp5/6几乎不表达。使用PI3Kγ拮抗剂IPI-549和CKAP4抗体可逆转DKK1介导的CD101表达改变。综上,DKK1通过CKAP4-PI3K/AKT通路诱导中性粒细胞呈现未成熟样表型,可能在骨转移微环境中发挥关键作用。

3. 中性粒细胞的未成熟样功能状态导致免疫抑制
与TNBC骨转移灶分选的未成熟中性粒细胞共培养后,CD8⁺ T细胞的活化(CD25、CD69、CD107a)、增殖、IFN-γ分泌及肿瘤杀伤能力均被显著抑制,且其抑制能力强于原发灶或肺转移灶来源的中性粒细胞。进一步实验表明,DKK1在体外将成熟中性粒细胞(CD11b⁺ Ly6G⁺ CD101⁺)转化为类未成熟状态后,同样能抑制共培养体系中CD8⁺ T细胞的活化和功能。RNA测序分析发现,DKK1刺激上调了中性粒细胞中负向免疫调控通路,下调了髓系激活与分化通路。关键机制研究表明,该免疫抑制功能依赖于DKK1-CKAP4-PI3K/AKT信号轴。使用PI3Kγ拮抗剂(IPI-549)或CKAP4抗体(3F11-2B10)阻断该通路后,可有效逆转DKK1处理的成熟中性粒细胞对CD8⁺ T细胞的抑制作用,恢复其抗肿瘤能力。这些结果表明,DKK1诱导的成熟相关标志物表达的改变有助于中性粒细胞的免疫抑制功能。

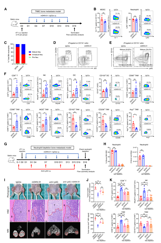
4. DKK1阻断可控制体内骨转移的进展
在TNBC骨转移模型小鼠中,使用小鼠单克隆DKK1抗体(mDKN-01)治疗。与同型对照(IgG2a)组相比,直接观察、HE染色及微MRI扫描都说明书mDKN-01单药治疗显著降低了骨转移肿瘤负荷。mDKN-01在胃癌(GC)和非小细胞肺癌(NSCLC)骨转移模型中也呈现出类似的肿瘤控制效果,且未观察到明显的药物毒性。通过系列微CT扫描与骨3D重建分析发现,mDKN-01治疗显著减轻了骨转移引起的骨破坏,改善了骨小梁参数,并延长了TNBC骨转移模型小鼠的总生存期。此外,骨病灶的TRAP染色表明,治疗组破骨细胞数量显著减少。综上,阻断DKK1能有效控制骨转移进展、减轻骨损伤并延长生存,支持其作为一种潜在的骨转移治疗策略。
2. DKK1诱导中性粒细胞进入未成熟样状态
通过分析不同骨转移能力的MDA-MB-231衍生细胞系分泌组数据,发现Dickkopf1(DKK1)在乳腺癌骨转移灶中特异性上调。癌症细胞系资料分析及骨转移TNBC模型证实DKK1表达与骨转移潜能呈正相关。骨转移胃癌患者血清中DKK1水平最高,且治疗后疾病进展患者血浆DKK1升高,高DKK1表达与无骨转移生存期缩短相关。动物模型中,骨转移小鼠血浆DKK1水平最高。体外实验表明,DKK1刺激可增加成熟中性粒细胞中Ly6G+ CD101−细胞比例,并延长其存活时间。体内过表达DKK1同样增加骨髓未成熟中性粒细胞比例。RNA测序和蛋白印迹分析揭示,DKK1通过结合细胞骨架相关蛋白4(CKAP4)激活PI3K-AKT通路。单细胞测序表明Ckap4在中性粒细胞广泛表达,而经典WNT通路受体Lrp5/6几乎不表达。使用PI3Kγ拮抗剂IPI-549和CKAP4抗体可逆转DKK1介导的CD101表达改变。综上,DKK1通过CKAP4-PI3K/AKT通路诱导中性粒细胞呈现未成熟样表型,可能在骨转移微环境中发挥关键作用。

3. 中性粒细胞的未成熟样功能状态导致免疫抑制
与TNBC骨转移灶分选的未成熟中性粒细胞共培养后,CD8⁺ T细胞的活化(CD25、CD69、CD107a)、增殖、IFN-γ分泌及肿瘤杀伤能力均被显著抑制,且其抑制能力强于原发灶或肺转移灶来源的中性粒细胞。进一步实验表明,DKK1在体外将成熟中性粒细胞(CD11b⁺ Ly6G⁺ CD101⁺)转化为类未成熟状态后,同样能抑制共培养体系中CD8⁺ T细胞的活化和功能。RNA测序分析发现,DKK1刺激上调了中性粒细胞中负向免疫调控通路,下调了髓系激活与分化通路。关键机制研究表明,该免疫抑制功能依赖于DKK1-CKAP4-PI3K/AKT信号轴。使用PI3Kγ拮抗剂(IPI-549)或CKAP4抗体(3F11-2B10)阻断该通路后,可有效逆转DKK1处理的成熟中性粒细胞对CD8⁺ T细胞的抑制作用,恢复其抗肿瘤能力。这些结果表明,DKK1诱导的成熟相关标志物表达的改变有助于中性粒细胞的免疫抑制功能。

4. DKK1阻断可控制体内骨转移的进展
在TNBC骨转移模型小鼠中,使用小鼠单克隆DKK1抗体(mDKN-01)治疗。与同型对照(IgG2a)组相比,直接观察、HE染色及微MRI扫描都说明书mDKN-01单药治疗显著降低了骨转移肿瘤负荷。mDKN-01在胃癌(GC)和非小细胞肺癌(NSCLC)骨转移模型中也呈现出类似的肿瘤控制效果,且未观察到明显的药物毒性。通过系列微CT扫描与骨3D重建分析发现,mDKN-01治疗显著减轻了骨转移引起的骨破坏,改善了骨小梁参数,并延长了TNBC骨转移模型小鼠的总生存期。此外,骨病灶的TRAP染色表明,治疗组破骨细胞数量显著减少。综上,阻断DKK1能有效控制骨转移进展、减轻骨损伤并延长生存,支持其作为一种潜在的骨转移治疗策略。

5. DKK1阻断以中性粒细胞依赖性方式改善骨转移瘤的免疫微环境
在TNBC骨转移模型中,使用mDKN-01抗体阻断DKK1后,尽管骨髓来源抑制细胞(MDSCs)和总中性粒细胞比例无显著变化,但骨病灶内成熟中性粒细胞(CD11b⁺Ly6G⁺CD101⁺)比例升高,未成熟中性粒细胞(CD11b⁺Ly6G⁺CD101⁻)比例降低。TME出现显著促炎性改变:CD8⁺ T细胞、自然杀伤(NK)细胞以及促炎巨噬细胞(CD80⁺、CD86⁺、iNOS⁺/F4/80⁺)浸润增加,而抗炎巨噬细胞(CD163⁺、CD206⁺、Arg1⁺/F4/80⁺)减少。该免疫改善趋势在胃癌和非小细胞肺癌骨转移模型中得到验证。为明确成熟中性粒细胞增加是否关键,研究在DKK1阻断的同时耗竭中性粒细胞。结果表明,单独耗竭中性粒细胞可减少肿瘤负荷,但阻断了mDKN-01单药带来的更优抗肿瘤效果。中性粒细胞耗竭还完全消除了DKK1阻断所诱导的CD8⁺ T细胞、NK细胞及促炎巨噬细胞的增加。综上,DKK1阻断通过促进中性粒细胞成熟,以中性粒细胞依赖的方式改善骨转移TME的免疫状态并控制肿瘤进展。

6. CHI3L3表达是未成熟中性粒细胞发挥免疫抑制作用所必需的
UMAP分析鉴定出成熟样、未成熟样和前体样等五个中性粒细胞亚群。与流式结果一致,DKK1阻断(mDKN-01组)后,骨病灶中的中性粒细胞成熟度增加,与分化、趋化和细胞毒性相关的通路被富集。分析发现,未成熟中性粒细胞特异性高表达壳聚糖酶-3样蛋白3(CHI3L3,编码基因Chil3)。DKK1蛋白能促进中性粒细胞分泌CHI3L3,而mDKN-01处理则降低其表达。利用公共单细胞数据验证,Chil3确实在未成熟中性粒细胞中高表达。功能实验表明,从中性粒细胞特异性敲除Chil3的小鼠(Chil3fl/flS100a8cre)中分选的中性粒细胞,其抑制CD8⁺ T细胞活化、IFN-γ分泌及肿瘤杀伤的能力显著减弱。即使给予DKK1刺激,敲除Chil3的中性粒细胞仍无法抑制T细胞功能。临床相关性分析表明,高huChil3⁺中性粒细胞评分与乳腺癌患者骨转移无生存期缩短、多种实体瘤患者总生存期缩短以及T细胞耗竭评分升高显著相关。综上,骨转移微环境中的未成熟中性粒细胞通过高表达CHI3L3抑制抗肿瘤免疫,该分子是其发挥免疫抑制功能的关键介质。

7. 靶向DKK1-STAT6-CHI3L3信号通路可改善骨转移免疫微环境并抑制骨转移进展
DKK1通过诱导中性粒细胞STAT6磷酸化(p-STAT6)上调CHI3L3表达,而p-STAT6抑制剂AS1517499可阻断该过程,并逆转DKK1处理的中性粒细胞对CD8⁺ T细胞抗肿瘤反应的抑制。在骨转移TNBC小鼠模型中,通过关节腔注射20ul(10^9 TU/ml)慢病毒shRNA敲低Chil3或使用AS1517499抑制p-STAT6,均能有效减少骨转移肿瘤负荷,并抑制病灶内中性粒细胞的CHI3L3表达。同时,CD8⁺ T细胞浸润与活化显著增加,NK细胞、促炎巨噬细胞比例升高,抗炎巨噬细胞减少,表明免疫微环境得到改善。为特异性探究中性粒细胞来源CHI3L3的体内功能,研究在Chil3fl/flS100a8cre(中性粒细胞特异性敲除)小鼠中建立同基因LLC骨转移模型。与对照Chil3fl/fl小鼠相比,敲除小鼠骨转移肿瘤负荷显著降低,且骨转移灶内CD8⁺ T细胞活化增强,促炎巨噬细胞、NK细胞及树突状细胞比例增加。综上,靶向中性粒细胞中由DKK1/STAT6轴调控的CHI3L3表达,能有效改善骨转移免疫微环境并抑制肿瘤进展,具有重要治疗价值。

8. DKK1阻断可促进中性粒细胞成熟并增强抗PD-1疗法在骨转移中的疗效
结果PD-1单药治疗对骨转移无明显影响,但与DKK1抗体(mDKN-01)联合使用时,骨转移病灶几乎被完全清除,其中三分之二的小鼠达到完全缓解。联合治疗显著增强了骨转移灶内CD8⁺ T细胞的活化并降低了其PD-1表达,同时增加了NK细胞浸润,减少了抗炎巨噬细胞。治疗还促进了中性粒细胞成熟,表现为成熟中性粒细胞(Ly6G⁺ CD101⁺)比例升高,而CHI3L3⁺中性粒细胞显著减少。通过CyTOF对骨病灶CD45⁺细胞进行深度分析发现,联合治疗组中NK细胞和树突状细胞比例增加。在中性粒细胞亚群中,与促肿瘤或未成熟表型相关的CD38⁺、CD117⁺及Siglec-F⁺群体比例下降,而与活化相关的CD62L⁺中性粒细胞比例升高。巨噬细胞分析也表明,促肿瘤标志物表达减弱,促炎标志物表达增强。综上所述,通过DKK1阻断恢复中性粒细胞成熟,能有效逆转骨转移免疫抑制微环境,并与抗PD-1疗法产生强大协同作用,显著增强抗肿瘤免疫反应与控制骨转移的效果。

文章意义
该研究揭示了骨转移肿瘤对免疫治疗抵抗的关键机制:骨髓微环境中积累的CHI3L3⁺不成熟中性粒细胞通过DKK1-CKAP4-STAT6信号轴抑制CD8⁺ T细胞功能,导致免疫检查点阻断疗法失效。研究进一步表明,阻断DKK1可促进中性粒细胞成熟、改善免疫微环境,并显著增强抗PD-1疗法在骨转移模型中的疗效。该工作不仅阐明了骨转移免疫逃逸的新路径,也为临床联合靶向DKK1与免疫检查点治疗提供了重要理论依据,有望改善骨转移患者的免疫治疗响应。